Tratamento Especializado
Implante Dentário em Peruíbe — Dente Fixo e Permanente
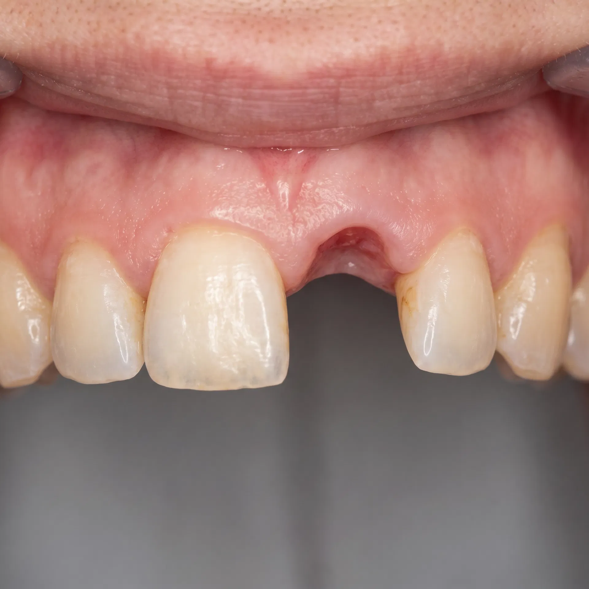
A Solução Definitiva para Dentes Perdidos
Perdeu um dente? O implante dentário é a solução mais moderna, estética e duradoura. Em Peruíbe-SP, realizamos implantes com tecnologia de osseointegração avançada, devolvendo função, estética e confiança ao seu sorriso.
Localizada em Peruíbe-SP, nossa clínica oferece atendimento especializado com tecnologia de ponta.


Agende sua Avaliação Gratuita Agora
Preencha o formulário ao lado e nossa equipe entrará em contato em até 2 horas para confirmar seu horário.
Agende sua Consulta
Preencha e entraremos em contato em até 2 horas!
Resultados Reais
Transformações dos Nossos Pacientes
Veja resultados reais de pacientes atendidos na Clínica Odontologia Peruíbe. Cada caso é único e tratado com atenção personalizada.


"Implante com coroa ceramética. Resultado indistinguível do dente natural, com função e estética completas."
Como Funciona
Nosso processo é simples e focado no seu conforto. Começamos com uma avaliação completa para entender suas necessidades específicas.
Em Peruíbe, oferecemos as melhores soluções com equipamentos modernos e profissionais certificados.
Por Que Escolher Nossa Clínica
- Especialistas certificados e experientes
- Tecnologia de última geração
- Atendimento humanizado e acolhedor
- Parcelamento disponível
Diferenciais da Nossa Clínica
Atendimento Rápido
Agendamentos ágeis e sem fila de espera prolongada
Segurança Garantida
Protocolos de biossegurança e esterilização rigorosos
Satisfação Garantida
Acompanhamento pós-tratamento e suporte contínuo
